Banyak cara yang dilakukan oleh seseorang untuk mendapatkan gigi yang rapi atau rata. Meskipun memiliki gigi dengan susunan yang baik, terkadang ada saja orang yang ingin agar giginya terlihat lebih rata lagi dengan cara mengikis permukaan gigi. Tidak jarang pasien datang ke klinik ingin agar giginya dikikis supaya terlihat rata, padahal sebenarnya tidak ada kelainan pada gigi tersebut. Katanya gigi depannya ada yang panjang dan ada yang pendek. Supaya bagus, mau diratakan agar sama tinggi seperti gambar di bawah ini yang notabene justru keadaan seperti inilah yang tidak normal karena rata-rata giginya sudah aus.
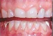
Normalnya, dua gigi seri pertama dan gigi taring kanan kiri rahang atas memiliki ukuran lebih besar dan lebih panjang dibanding gigi seri kedua rahang atas kanan kiri sehingga antara gigi satu dan lainnya tersebut tidak bisa kelihatan sama rata persis seperti gambar berikut.
Gambar lengkung gigi
normal. Tidak semua gigi terlihat sama tinggi
Gigi terdiri dari lapisan email/enamel
yang paling luar dan dentin merupakan lapisan di bawah email yang mempunyai
saluran dan berhubungan dengan saraf gigi. Warna email putih dan bersifat
translusen, sedangkan dentin berwarna lebih kuning dibanding email.
Memang, seiring bertambahnya usia,
lapisan email gigi lama-kelamaan akan aus juga karena digunakan untuk mengunyah
makanan selama kita hidup yang dikenal sebagai atrisi. Akan tetapi, dengan mengasah
gigi dapat mempercepat pengikisan lapisan email sehingga dentin terbuka yang menyebabkan
gigi menjadi lebih sensitif dan terasa ngilu pada saat terkena rangsangan
thermal panas atau dingin, udara, dan kimia misalnya saat mengkonsumsi makanan
atau minuman. Hal ini membuat seseorang tidak nyaman karena sering merasakan
nyeri berdenyut dengan durasi pendek. Selain itu juga, karena lapisan email
dikikis dan dentin terbuka, gigi akan terlihat berwarna lebih kuning karena
warna dentin yang kekuning-kuningan dan tentunya hal ini akan mempengaruhi
penampilan seseorang.

Tidak ada komentar:
Posting Komentar